حالات فينير

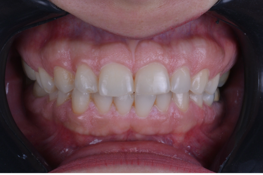
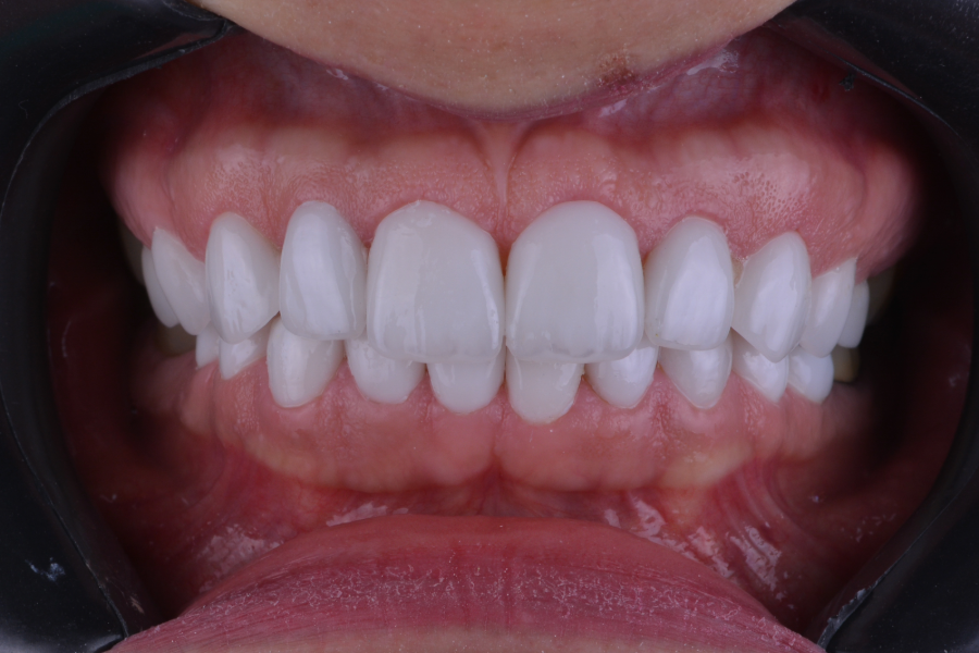
قبل تغير لون و شكل الأسنان لإعادة تأهيل الابتسامة. بعد تغير لون و شكل الأسنان لإعادة تأهيل الابتسامة.

قبل تجميل وزراعة الاسنان فينير 1 بعد تجميل وزراعة الاسنان فينير 1

قبل تغير لون و شكل الأسنان لإعادة تأهيل الابتسامة. بعد تغير لون و شكل الأسنان لإعادة تأهيل الابتسامة.

قبل تجميل وزراعةالاسنان فينير 7 بعد تجميل وزراعةالاسنان فينير 7

قبل تغير لون و شكل الأسنان لإعادة تأهيل الابتسامة. بعد تغير لون و شكل الأسنان لإعادة تأهيل الابتسامة.

قبل تغير لون و شكل الأسنان لإعادة تأهيل الابتسامة بعد تغير لون و شكل الأسنان لإعادة تأهيل الابتسامة

قبل تغير لون و شكل الأسنان لإعادة تأهيل الابتسامة. بعد تغير لون و شكل الأسنان لإعادة تأهيل الابتسامة.

قبل تغير لون و شكل الأسنان لإعادة تأهيل الابتسامة. بعد تغير لون و شكل الأسنان لإعادة تأهيل الابتسامة.

قبل تجميل وزراعةالاسنان فينير 2 بعد تجميل وزراعةالاسنان فينير 2

قبل تغير لون و شكل الأسنان لإعادة تأهيل الابتسامة. بعد تغير لون و شكل الأسنان لإعادة تأهيل الابتسامة.