تقويم الاسنان

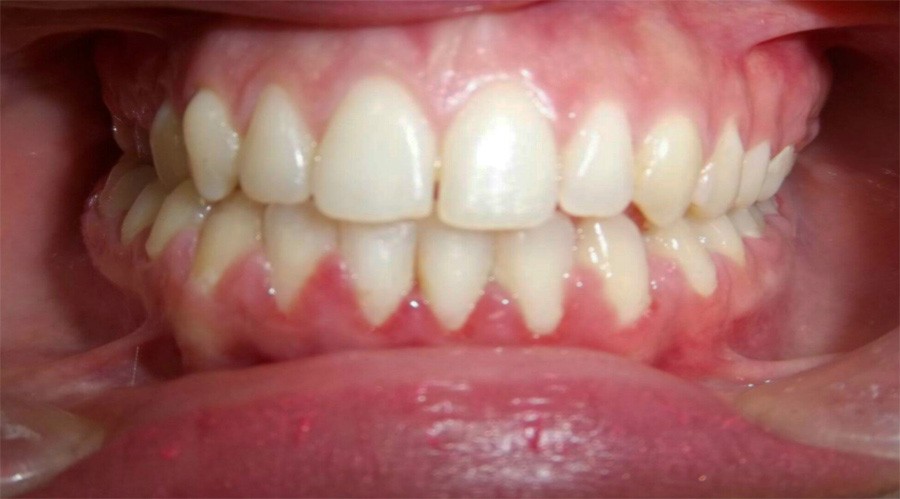
قبل تقويم وعلاج الاسنان بمركز دكتور ايمن الغمراوى -تركيب وتجميل الاسنان 1 بعد تقويم وعلاج الاسنان بمركز دكتور ايمن الغمراوى -تركيب وتجميل الاسنان 1

قبل تقويم وعلاج الاسنان بمركز دكتور ايمن الغمراوى -تركيب وتجميل الاسنان 5 بعد تقويم وعلاج الاسنان بمركز دكتور ايمن الغمراوى -تركيب وتجميل الاسنان 5

قبل تقويم وعلاج الاسنان بمركز دكتور ايمن الغمراوى -تركيب وتجميل الاسنان 2 بعد تقويم وعلاج الاسنان بمركز دكتور ايمن الغمراوى -تركيب وتجميل الاسنان 2

قبل تقويم وعلاج الاسنان بمركز دكتور ايمن الغمراوى -تركيب وتجميل الاسنان 4 بعد تقويم وعلاج الاسنان بمركز دكتور ايمن الغمراوى -تركيب وتجميل الاسنان 4

قبل تقويم وعلاج الاسنان بمركز دكتور ايمن الغمراوى -تركيب وتجميل الاسنان 3 بعد تقويم وعلاج الاسنان بمركز دكتور ايمن الغمراوى -تركيب وتجميل الاسنان 3