Contact info
Nasr city 32 Ateya El sawalhy St., infront of Srag Mall Gate3 .
New cairo 215 medical park beside air force hospital, Cairo, Egypt
dr-aymanelghmrawy@hotmail.com
+201017066664
+201017066664
Contact us
Home
About us
Dr. Ayman Al-Ghamrawy Center for Dental Implants and Cosmetics
Medical team
Testimonials
Care Smile Services
Wisdom Tooth Extraction
Root Canal Treatment
Dental Implants
Orthodontics
Teeth Whitening
Cosmetic Veneer
Fixed dental implants
Smile design
Gum aesthetics and treatment
Sterilization
Medical Advice
After / Before
Videos
Contact us
العربية
Home
After / Before
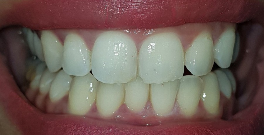
Teeth whitening
Share
https://www.draymanelghmrawy.com/short54-link
Short link copied